オフィスホワイトニング
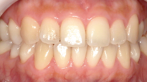
オフィスホワイトニングとは、クリニックで行うホワイトニングです。ホームホワイトニングよりも、早く効果がでるので、とにかく早く歯を白くしたいという方にお勧めです。
Whitening

ホワイトニングは、歯を痛めることなく内部の色素を分解し、白く明るくする治療法です。
短期間で効果が期待でき、副作用などのデメリットが非常に少ない治療です。削らず歯を白くしたい方、ご結婚予定のある方などにおすすめです。
ホワイトニングには、オフィスホワイトニング、ホームホワイトニング、デュアルホワイトニングの三種類があります。
オフィスホワイトニングとは、クリニックで行うホワイトニングです。ホームホワイトニングよりも、早く効果がでるので、とにかく早く歯を白くしたいという方にお勧めです。
ほり歯科・矯正歯科中央林間では、お口への装着型LEDライト最新の「ブリリカ-BRILLICA」を導入し、ホワイトニングを行っています。
BRILLICAは、直接開口器に取り付ける、新しいタイプのホワイトニングのスタイルです。従来のスタンド型の照射器と比べ、動いても照射ポジションがズレないというメリットがあります。これにより、動いてはいけないというストレスが軽減されました。
ライト自体の重さはわずか100gなので、重くて疲れるという心配もいりません。
音楽を聴きながら、またリラックスしながらのオフィスホワイトニングはいかがでしょうか。
安全かつ効果的で、結果をすぐに目で確かめたい、短時間で白く輝く歯を手に入れたいという方に最適です。
軽量・コンパクト、そして洗練されたフォルムのBRILLICAをぜひ 当院でお試しください。
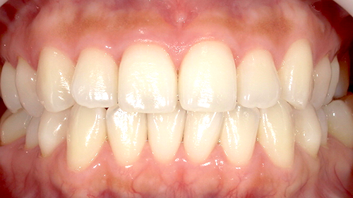
「治療を受ける患者様にとって出来るだけストレスが軽くて自然な透明感のある白さが得られるホワイトニング剤を選びたい」
ほり歯科・矯正歯科中央林間では、そんな思いでこの「TiON In Office」を採用しております。
ティオン オフィスは、その日に白さが得られる高いホワイトニング効果と低刺激性を両立させた患者さんにやさしいオフィスホワイトニング材です。
他のオフィスホワイトニング剤に比べて薬液の濃度が低濃度につくられているため、当然しみる症状も出にくくなります。
さらに特殊な光触媒を使用しているため、高いホワイトニング効果も得ることができます。
薬剤の成分で歯の表面がツルツルになり、透明感・光沢のある自然な白さを引き出します。
また歯質も強化され、汚れや着色が付きにくくなる効果もあります。
TiON
In Officeはホワイトニングライト-BRILLICAと、とても相性が良いのが特徴です。
ご自身で行うホワイトニング方法です。低濃度の薬剤を使いますので、長時間かけてじっくりと白くしていく必要があります。
ホームホワイトニングとオフィスホームホワイトニングを組み合わせて行う方法です。早く白くしたい、かつ白さを長持ちさせたいという方におすすめです。
ほり歯科・矯正歯科中央林間で一番おすすめのホワイトニング方法です。
初診時は カウンセリング・検査をおこない、施術は後日とさせていただいております。
患者さまの健康・安全ならびにホワイトニング効果を最優先させていただく為でございます。
何卒ご容赦くださいますようお願い申し上げます。
クラウンとは、虫歯の治療などで歯を削った後に被せる人工の歯のことです。
クラウンには、様々な種類があり、保険診療では部位によって、作ることができる冠が決められています。
オールセラミックセラミック(陶器)でできたクラウンです。
メタルボンド中身を金属で作り、外側にセラミックを張り付けたクラウンです。
ハイブリッドセラミックセラミックとレジンを混ぜた材料で作られたクラウンです。
ラミネートべニア歯を少しだけ削ってセラミックの薄い板を張り付けます。
ゴールドクラウン金合金や白金加金などの貴金属で作られたクラウンです。
硬質レジンジャケット冠レジンという歯科用プラスチックで作られたクラウンです。
硬質レジン前装冠中身を金属で作り、見える部分にレジンを張り付けたクラウンです。
合金(金銀パラジウム)いわゆる銀歯で、全体が金銀パラジウム合金でできたクラウンです。