
矯正歯科とは、歯並びをきれいに治す治療のことをいいます。 一般の歯医者さんでは矯正医は月1回や2回の非常勤なのでどうしても治療予約日の調整に限りがあります。
また、矯正専門の歯医者さんは虫歯治療や抜歯などの一般歯科に対応していないことの方が多いのが実情です。それらの治療が必要になった場合には別の歯医者さんで治療を受けなくはならないのが一般的です。
ほり歯科・矯正歯科中央林間では経験豊富な院長が常にいる為、矯正器具の破損など急なアクシデントにも対応しやすく、仮に虫歯があっても当院でしっかり治療できる安心感があります。
子供の矯正(小児矯正)
家から近い場所にある
子供の矯正治療の場合、なるべく家から近く通いやすい場所にある矯正歯科を選ぶことがおすすめです。矯正が始まると1ヵ月~数ヵ月に1度は診察に行く必要がある長期間の治療になるので、学校やクラブ活動などで忙しくなることを考慮すると家から近い方が通院の負担は少ないです。また矯正器具の破損など急なアクシデントにも対応しやすく安心感もあります。
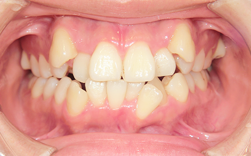
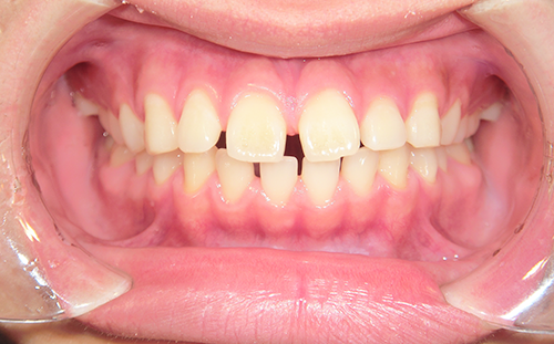
子供の矯正(小児矯正)は、あごの骨のバランスや大きさを整える「1期治療(骨格矯正)」と、永久歯が生えそろってから歯の位置を整える「2期治療(歯列矯正)」の2段階からなります。
第1期治療
乳歯と永久歯が混じった時期の治療で、主に成長を利用した治療を行ないます。(6~10歳)
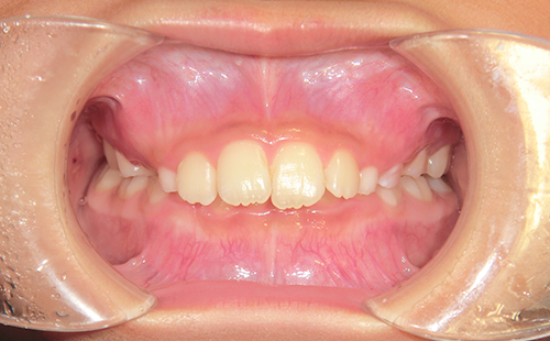
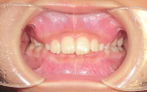
第2期治療
歯の1本1本に装置をつけ、歯の根までコントロールして最終的な咬み合わせを作ります。
大人の矯正(成人矯正)
永久歯に生えそろった方を対象とするのが成人矯正で、「2期治療」ともいわれます。近年、治療技術の進歩により、矯正治療に年齢は関係なくなり、患者様のライフスタイルに合わせてさまざまな治療法が選択できるようになりました。