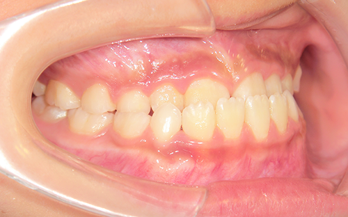
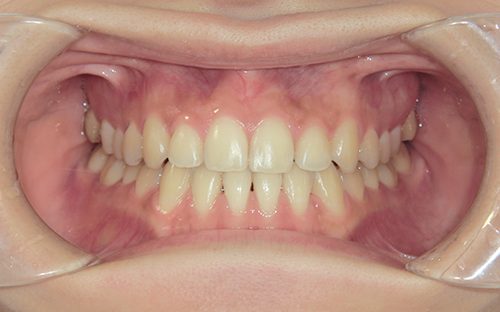
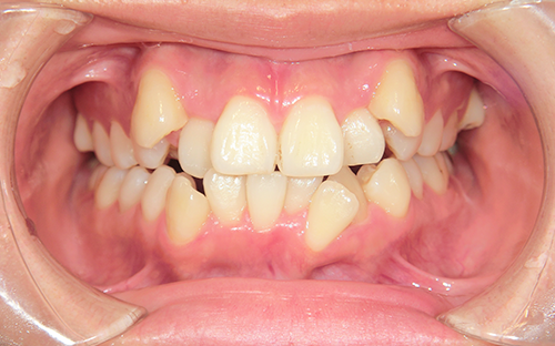
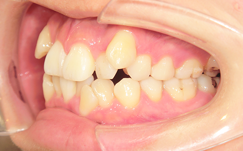
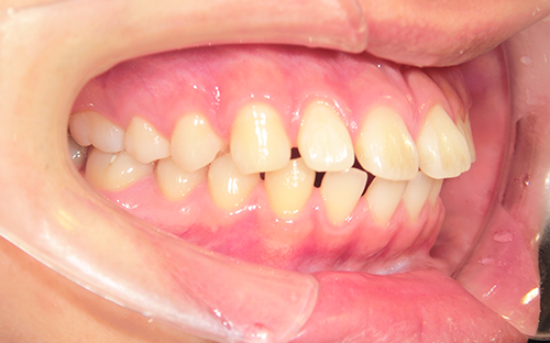
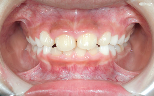
上顎前突(じょうがくぜんとつ)
過度に上顎前歯が前方に出ているため、上の前歯の外傷予防と、少しでも唇を閉じやすくし、口唇が機能しやすいようにします。
永久歯が生え揃う前の治療を1期治療と言います。上顎前突のお子様は1期治療開始がおすすめです。
Case
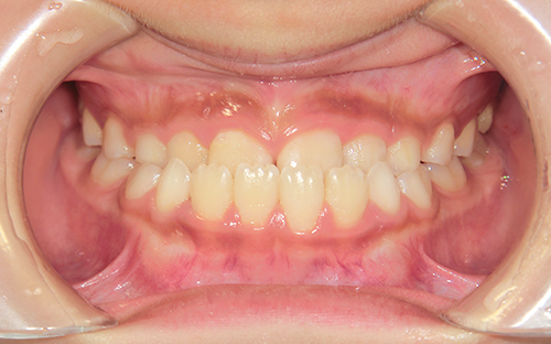
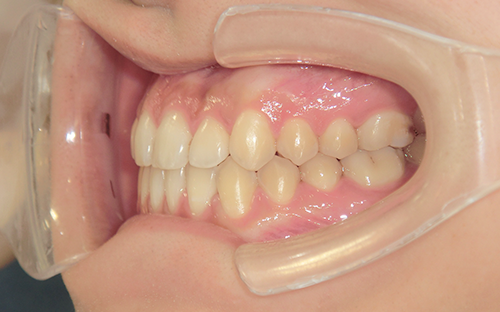
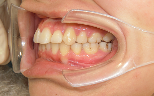
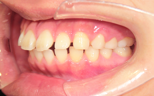
過度に上顎前歯が前方に出ているため、上の前歯の外傷予防と、少しでも唇を閉じやすくし、口唇が機能しやすいようにします。
永久歯が生え揃う前の治療を1期治療と言います。上顎前突のお子様は1期治療開始がおすすめです。






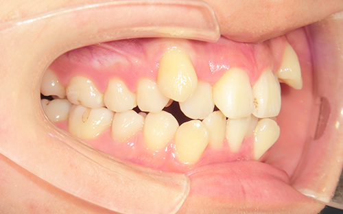
永久歯に生え変わりはじめた時期に治療を開始し、永久歯が生え揃う時期にはきれいな歯並びになりました。
永久歯が生え揃う前の治療を1期治療と言います。反対咬合のお子様は1期治療開始がおすすめです。






開咬は舌突出癖(ものを飲み込む時に、舌が前方や側方に突き出る)が原因と言われています。
開咬の治療はMFTも並行しておこなっていきます。
MFT(口腔筋機能療法)とは、正しい舌の動きや正しい口のまわりの筋肉の動きを覚えていき習慣化し、正しく機能させる訓練のことです。






治療前の唇は突き出し、エステティックライン(E-line:鼻の先とあごを結んだライン。側貌を評価する指標のひとつで、上下の口唇がE-line上または後方にあるのが美しいとされています。)より、唇が前に出ていました。
治療後は、唇が後退し、美しい横顔になりました。






上あごの歯ぐきが笑ったときに見えたり、上あごの内側の歯ぐきを下の前歯で傷つけて炎症を起こしたりすることがありました。
治療は歯を抜かずにここまで美しくなりました。
歯磨きもしやすくなり、ご本人もすごく喜んで頂けました。






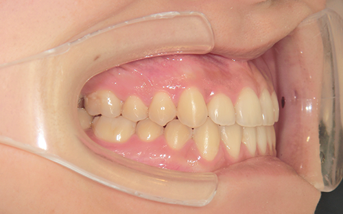
右上の歯と下の歯が交叉に咬んでいました。取外しの出来る装置で正常な噛み合わせになりました。
お子様の場合は取外しの出来る装置のみで改善することもありますので1期治療(永久歯が生え揃う前の治療)がおすすめです。
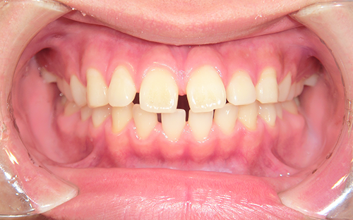
空隙歯列は嚥下時に舌を前方突出させるため、歯と歯の間が広がっている状態のことをいいます。
空隙歯列の治療はMFTも並行しておこなっていきます。
MFT(口腔筋機能療法)とは、正しい舌の動きや正しい口のまわりの筋肉の動きを覚えていき習慣化し、正しく機能させる訓練のことです。





